
Содержание
- Причины периодонтита
- Факторы риска периодонтита
- Симптомы периодонтита
- Диагностика периодонтита
- Классификация периодонтита
- Разница между гингивитом и периодонтитом
- Лечение периодонтита
- Профилактика периодонтита
- Список литературы
Периодонтит – заболевание периодонта. Периодонт в переводе «окружающий (пери) зуб (одонт)». Часто также в том же значении применяется термин пародонт. Он включает все компоненты, удерживающие зуб в челюстной кости: десну, кость, фиксирующие волокна и фиксирующую структуру на поверхности корня (цемент). В здоровом зубе периодонт окружает весь корень.
Периодонтит – острый или хронический процесс, провоцируемый бактериальными микроорганизмами и характеризующийся тяжелым воспалением, которое вызывает разрушение опорного аппарата зубов и может привести к потере зубов. Это также может привести к другим проблемам со здоровьем.
Периодонтит всегда начинается с воспаления десен, известного как гингивит. Это воспаление, обычно сопровождающееся покраснением или отеком десен и кровотечением при чистке зубов или откусывании пищи, является реакцией организма на бактерии, которым позволили скапливаться на зубах.
Затем воспаление может распространиться ниже десны и вдоль корней зубов, что может привести к необратимому повреждению тканей («пародонтальной связки») вокруг зубов и опорной кости. Зубы начинают расшатываться и, в итоге, могут быть потеряны.
В основном это прогредиентный (постепенный) процесс, растягивающийся на много лет. Однако у некоторых молодых людей заболевание протекает очень агрессивно, вызывая раннее расшатывание и потерю зубов. Около 40% людей страдают периодонтитом. Подсчитано, что среди взрослых около 70% потери зубов вызвано периодонтитом. Хорошая новость заключается в том, что при своевременном обнаружении и вовремя начатом лечении процесс можно остановить и восстановить здоровье десен.
Причины периодонтита

Суть в том, что периодонтит всегда вызывается скоплением бактерий в виде зубного налета. Здоровый рот заселен более чем 700 различными видами бактерий, большинство из которых совершенно безвредны и живут в гармонии со своим «хозяином». Но когда мы недостаточно тщательно чистим зубы, бактериальные отложения накапливаются рядом с деснами, образуя «налет» — и это создает условия для размножения более опасных бактерий. В результате также нарушаются естественные защитные силы организма.
Если этот мягкий бактериальный налет не удаляется при чистке щеткой, в нем откладываются минералы, и на зубе образуется твердый налет, называемый зубным камнем. Наличие зубного камня способствует росту бактериального налета по направлению к корням зубов. Это приводит к ослаблению прикрепления корня к десне и образованию щели, называемой пародонтальным карманом, между зубом и десной. Этот карман является идеальным местом для сбора и размножения вредных бактерий, что способствует прогрессированию болезни, поскольку бактерии выделяют токсины, которые еще больше запускают защитные механизмы организма.
Тяжесть и скорость прогрессирования периодонтита зависят от следующих факторов:
количество и тип присутствующих бактерий;
сила защитных сил человека;
наличие или отсутствие факторов риска (например, курение, диабет);
генетические факторы;
определенные виды лекарств.
Например, чем агрессивнее бактерии и чем слабее иммунный ответ больного, тем активнее будет протекать болезнь. А если больной курит или болеет сахарным диабетом, то защитные силы организма могут быть ослаблены, что может ускорить процесс заболевания. Некоторые лекарства, такие как антигипертензивные или сосудорасширяющие средства и иммунотерапия, могут влиять на воспалительную реакцию на зубной налет и повышать восприимчивость пациентов к гингивиту.
Но очень важно помнить, что без скопления бактериального налета периодонтит не возникнет.
Факторы риска периодонтита

Есть несколько факторов, которые увеличивают вероятность развития периодонтита и делают заболевание более вероятным. Среди общих факторов риска выделяют:
Курение. У курильщиков гораздо больше шансов заболеть периодонтитом, чем у некурящих. Периодонтит прогрессирует гораздо быстрее – и с более быстрой потерей зубов – у курильщиков, чем у некурящих.
Даже при хорошей гигиене полости рта у курильщиков наблюдается большая потеря костной массы, и у них больше шансов на образование карманов десен, в которых обитает большее количество вредных бактерий.
Лечение периодонта (например, имплантаты, десневые или костные трансплантаты) менее эффективно у курильщиков, чем у некурящих, потому что заживление обычно хуже. Около 90% случаев, когда периодонтит не поддается лечению, приходится на курильщиков.
У бывших курильщиков состояние десен может улучшиться в течение нескольких лет и при хорошем профессиональном уходе. Всего через год после отказа от курения бывшие курильщики лучше реагируют на лечение, чем пациенты, которые все еще курят. Именно поэтому настоятельно рекомендуется бросить курить.
Генетика. Некоторые люди могут иметь большую генетическую предрасположенность к заболеваниям десен, чем другие. То, как иммунная система реагирует на вредных бактерий, может отличаться от человека к человеку из-за генетических различий. В результате не у всех людей появляются одинаковые симптомы периодонтита.
Возраст. В редких случаях периодонтит может начаться в возрасте 18 лет, а в очень редких случаях даже в подростковом возрасте. Но большинство случаев развивается после 35 лет. Поскольку заболевание обычно прогрессирует медленно, больные замечают первые проблемы намного позже, когда состояние уже слишком запущено. В пожилом возрасте последствия периодонтита могут быть более серьезными, с точки зрения большей потери костной массы и большей потери зубов.
Диабет 2 типа. Пациенты, уровень глюкозы в крови которых не контролируется, имеют более высокий риск развития периодонтита. Периодонтит и диабет имеют двустороннее влияние друг на друга. Люди с хорошо контролируемым уровнем глюкозы в крови не имеют более высокого риска периодонтита. Лечение одного заболевания положительно влияет на течение другого.
Важно, чтобы люди с диабетом были осмотрены стоматологом, чтобы определить, нет ли у них периодонтита, а пациенты с периодонтитом должны пройти обследование на диабет у своего врача.
Плохое питание. Нездоровый рацион с высоким содержанием обработанных пищевых продуктов и рафинированных углеводов увеличивает склонность к воспалению десен. Как при гингивите, так и при периодонтите это может привести к увеличению отека по линии десны и усилению повреждения структур, поддерживающих зуб. Нездоровое питание также увеличивает риск развития диабета, который может еще больше усугубить периодонтит.
Стресс – психический или эмоциональный может ослабить иммунную систему и снизить сопротивляемость десен болезнетворным бактериям. Люди с ослабленной иммунной системой могут быть более восприимчивы к заболеваниям десен.
Симптомы периодонтита

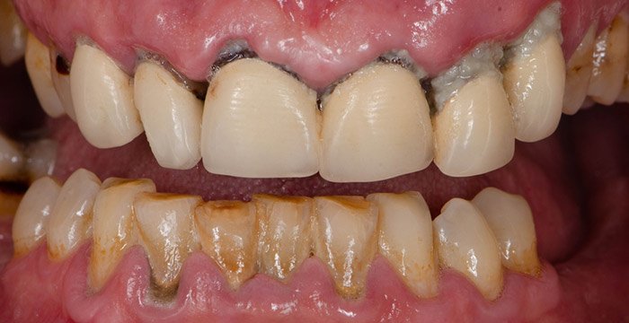
Периодонтит всегда начинается с воспаления десен, известного как гингивит. Одним из первых признаков является кровоточивость десен, когда вы чистите зубы. Десны могут выглядеть красными и опухшими, и вы можете заметить обесцвеченный слой бактериального налета на зубах. Если его не удалить путем надлежащей чистки зубов, этот налет станет «минерализованным», превратившись в твердые отложения, известные как зубной налёт или зубной камень, которые невозможно удалить зубной щеткой.
При отсутствии лечения гингивит может превратиться в периодонтит, более серьезную форму заболевания десен. Часто это происходит без каких-либо явных признаков, которые могли бы вас насторожить, но вы можете заметить такие изменения, как:
Повышенная кровоточивость десен, которая может быть спровоцирована чисткой зубов или приемом пищи, а может быть и спонтанной.
Неприятный запах изо рта.
Изменение положения зубов в челюстях.
Зубы кажутся «длиннее» (опущение десен).
Боль.
У курильщиков кровоточивость десен может быть менее заметной. Это связано с воздействием никотина на кровеносные сосуды и означает, что развитие болезни может быть скрытым.
Люди часто не замечают наличие периодонтита до тех пор, пока им не исполнится 40 или 50 лет, и к этому времени может быть нанесен значительный ущерб. Тем не менее, стоматолог может обнаружить признаки заболевания гораздо раньше, во время обычного стоматологического осмотра, и может контролировать состояние периодонта с помощью инструмента, называемого индексом пародонтального скрининга.
Диагностика периодонтита

В диагностике периодонтита выделяют несколько этапов.
Клинический осмотр в стоматологической практике – единственный способ правильно оценить состояние десен и опорных структур зуба. При первичном осмотре стоматолог или гигиенист проведет базовый осмотр периодонта, который займет всего несколько минут. Это обследование быстро определяет наличие гингивита или периодонтита.
Стоматолог или стоматолог-гигиенист использует специальный зонд (называемый пародонтальным зондом) и аккуратно и точно измеряет глубину проникновения на линии десен в различных местах рта. Зонд измеряет расстояние между линией десны и дном «кармана». На здоровых участках глубина зондирования составляет 3 мм или менее, но при наличии периодонтита глубина составляет 4 мм и более.
После этого краткого осмотра дальнейшие тесты проводятся только при наличии признаков периодонтита, т. е. повреждения структур, поддерживающих зуб.
Кроме того, в так называемой пародонтальной карте точно записывается высота челюстной кости (уровень прикрепления). Пародонтальная карта необходима для правильной диагностики периодонтита и планирования последующего лечения.
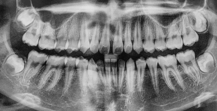
Рентгенологические исследования. Диагноз периодонтита можно подтвердить только при проведении рентгенологического исследования. Выбор рентгеновских снимков, необходимых для диагностики периодонтита, производится после клинического осмотра.
В самых простых случаях необходимы только два снимка (так называемые изображения «прикус-крыло»), но в более обширных случаях может потребоваться до 14 дополнительных рентгеновских снимков и/или панорамный рентгеновский снимок всего рта. Эти рентгеновские снимки показывают челюстную кость, окружающую зуб, и позволяют оценить тяжесть потери костной массы. На каждом рентгеновском снимке, сделанном в стоматологической практике, зубы должны проверяться на наличие кариеса и периодонтита.
Микробиологические тесты исследуют состав зубного налета на конкретные болезнетворные бактерии:
Prevotella intermedia
-
Porphyromonas gingivalis -
Agregatibacter actinomycetemcomitans -
Treponema denticola
Результаты этих тестов могут предоставить информацию, которая позволит стоматологу или пародонтологу оказать надлежащую помощь и избежать ненужного лечения.
Классификация периодонтита

Существует международно признанная система классификации случаев гингивита и периодонтита. Случаи периодонтита классифицируют по четырем стадиям и трем классам. Стадии описывают тяжесть и степень заболевания, а степени описывают вероятную скорость прогрессирования.
Классифицируя случаи периодонтита таким образом, стоматологи и пародонтологи могут подобрать подходящую форму лечения для каждого отдельного пациента.
Разница между гингивитом и периодонтитом
Гингивит — это воспаление, которое ограничивается линией десны, тогда как при периодонтите происходит потеря челюстной кости, пародонтальной связки и корневого цемента.
При гингивите еще не происходит потери структур, удерживающих зубы на месте. Это означает, что хорошая гигиена полости рта в домашних условиях может остановить гингивит и восстановить здоровье десен.
А вот с периодонтитом все иначе. Как только воспаление вызвало потерю костной массы, это повреждение не может быть устранено.
Лечение периодонтита требует большего, чем хорошая гигиена полости рта в домашних условиях. Нуждается в профессиональном уходе стоматолога или пародонтолога.
Лечение периодонтита

При тщательной профессиональной оценке и лечении обычно удается полностью остановить прогрессирование периодонтита. Ключом к успеху является устранение бактериального налета, который запускает патологический процесс, и соблюдение правил гигиены полости рта. В успешном лечении периодонтита выделяют шесть этапов:
- Инструкции и советы по гигиене полости рта. Целью этапа лечения по гигиене полости рта является уменьшение количества бактерий во рту и, таким образом, снижение уровня воспаления. Стоматолог сначала объяснит пациенту причины периодонтита и даст четкие инструкции о том, как поддерживать чистоту зубов и десен. Дадут советы о том, как использовать различные инструменты и методы: например, наиболее подходящую технику чистки зубов и правильное использование межзубных ершиков, зубной нити и антисептических жидкостей для полоскания рта.
- Профессиональная чистка. Все бактериальные отложения (налет и камень) удаляются с доступных участков зубов, после чего зубы полируются и обрабатываются фтором. При необходимости стоматолог также удалит все бактериальные отложения и зубной камень с поверхностей корней и десневых карманов.
- Антибиотикотерапия. В некоторых случаях антибиотики назначают для борьбы с активными или персистирующими инфекциями десен, которые не реагируют на меры по гигиене полости рта.
- Повторная оценка. Через несколько недель стоматолог или пародонтолог проведет полную оценку ваших десен, чтобы проверить ход вашего лечения. Специальный инструмент, называемый пародонтальным зондом, используется для регистрации глубины любых пародонтальных карманов и проверки наличия кровотечения из десен. Если пародонтальные карманы все еще присутствуют более 3 мм, могут быть предложены дополнительные варианты лечения, включая корректирующую хирургическую терапию.
- Корригирующая хирургическая терапия. Иногда проводится хирургическая процедура для удаления бактерий и отложений зубного налета в пародонтальных карманах и на поверхности корней в местах разветвления (где корни расходятся). Эти области недоступны для щеток и зубной нити, поэтому воспаление будет оставаться там до тех пор, пока бактериям будет позволено колонизировать их. Под местной анестезией приподнимают десну и очищают поверхность корня, чтобы убедиться, что все бактерии удалены. Иногда можно одновременно лечить потерю костной массы с помощью специального регенеративного лечения. В конце процедуры десны сшиваются на место вокруг зубов. Швы обычно снимают через одну-две недели после операции. Также было показано, что регенеративная пародонтальная хирургия, направленная на восстановление утраченной кости вокруг зубов, улучшает прогноз зубов.
- Последующий уход – поддерживающая пародонтологическая терапия. Долгосрочный успех пародонтологического лечения зависит от двух факторов: личной гигиены полости рта пациента и регулярного ухода стоматолога или пародонтолога. После того, как первая фаза лечения завершена, стоматолог должен будет регулярно проверять состояние ваших десен, чтобы убедиться, что воспаление прекратилось и не вернулось. Частота последующих визитов будет зависеть от тяжести заболевания и вашего индивидуального риска прогрессирования заболевания. Обычно последующие визиты назначаются каждые три-шесть месяцев.
Регулярные повторные визиты к врачу жизненно важны, чтобы гарантировать, что периодонтит не вернется и не вызовет дальнейшего разрушения десен, костей и связок, поддерживающих зубы. Если есть признаки продолжающегося заболевания, стоматолог сможет вылечить его на ранней стадии. Также пациентам дадут советы о том, как изменить методы гигиены полости рта, чтобы справиться с воспалением.
Успешное пародонтологическое лечение требует от пациента полного сотрудничества в ежедневной практике гигиены полости рта и посещения регулярных контрольных осмотров.
Профилактика периодонтита

Воспаление десен не является ни нормальным, ни неизбежным. Заболевания десен – гингивит и периодонтит – можно предотвратить, заботясь о зубах и деснах. Это означает выработку хороших привычек в отношении гигиены полости рта и регулярные профессиональные осмотры (не реже одного раза в год).
Основными элементами хорошей гигиены полости рта являются:
Чистка зубов как минимум два раза в день в течение как минимум двух минут, используя ручную или электрическую зубную щетку.
Чистка пространства между зубами не реже одного раза в день, используя межзубные щетки и зубную нить, если промежутки слишком малы для щеток. Возможно, придется использовать кисти разного размера для зазоров разного размера. Эту чистку межзубных промежутков следует проводить перед чисткой зубов.
После чистки зубов можно использовать антисептические жидкости для полоскания рта, поскольку они могут предотвратить накопление налета на срок до 12 часов. Жидкости для полоскания рта с хлоргексидином являются наиболее эффективными, но имеют некоторые побочные эффекты, такие как окрашивание зубов, черный язык, изменение вкуса и иногда эрозия мягких тканей рта. Ополаскиватели с хлоргексидином рекомендуется использовать не более двух недель. Следует проконсультироваться со стоматологом и уточнить, следует ли использовать жидкость для полоскания рта, и какая из них подойдет в конкретной ситуации.
Особое внимание следует уделить тщательной очистке вокруг искривленных или скученных зубов, а также вокруг пломб, коронок и зубных протезов, поскольку в этих труднодоступных местах легко образуется зубной налет.
Оптимальная гигиена полости рта может широко варьировать от человека к человеку. Важно проконсультироваться со стоматологом или стоматологом-гигиенистом о том, какие методы лучше всего подходят в конкретном случае, и попросить их дать подробные инструкции.
Устранение факторов риска также может помочь предотвратить возникновение периодонтита. Таким образом, отказ от курения, предотвращение стресса или его снижение, здоровое питание и физические упражнения могут сыграть свою роль в поддержании хорошей гигиены полости рта в профилактике периодонтита.
Список литературы / References
- Bascones-Martínez A, González-Febles J, Sanz-Esporrín J. Diabetes and periodontal disease. Review of the literature // Am J Dent. 2014 Apr;27(2):63-7.
- Bascones-Martinez A, Matesanz-Perez P, Escribano-Bermejo M, González-Moles MÁ, Bascones-Ilundain J, Meurman JH. Periodontal disease and diabetes-Review of the Literature // Med Oral Patol Oral Cir Bucal. 2011 Sep 1;16(6):e722-9. doi: 10.4317/medoral.17032.
- Bergström J. Tobacco smoking and chronic destructive periodontal disease // Odontology. 2004 Sep;92(1):1-8. doi: 10.1007/s10266-004-0043-4.
- Clothier B, Stringer M, Jeffcoat MK. Periodontal disease and pregnancy outcomes: exposure, risk and intervention // Best Pract Res Clin Obstet Gynaecol. 2007 Jun;21(3):451-66. doi: 10.1016/j.bpobgyn.2007.01.005.
- Hancocks S. Periodontal disease--who cares? // Br Dent J. 2011 Jun 24;210(12):555. doi: 10.1038/sj.bdj.2011.520.
- Herring ME, Shah SK. Periodontal disease and control of diabetes mellitus // J Am Osteopath Assoc. 2006 Jul;106(7):416-21.
- Highfield J. Diagnosis and classification of periodontal disease // Aust Dent J. 2009 Sep;54 Suppl 1:S11-26. doi: 10.1111/j.1834-7819.2009.01140.x.
- John V, Alqallaf H, De Bedout T. Periodontal Disease and Systemic Diseases: An Update for the Clinician // J Indiana Dent Assoc. 2016 Winter;95(1):16-23.
- Johnson TM. Smoking and periodontal disease // US Army Med Dep J. 2017 Oct-Dec;(3-17):67-70.
- Kawar N, Gajendrareddy PK, Hart TC, Nouneh R, Maniar N, Alrayyes S. Periodontal disease for the primary care physician // Dis Mon. 2011 Apr;57(4):174-83. doi: 10.1016/j.disamonth.2011.03.003. PMID: 21569880.
- Khalili J. Periodontal disease: an overview for medical practitioners // Lik Sprava. 2008 Apr-Jun;(3-4):10-21.
- Kinane DF. Causation and pathogenesis of periodontal disease // Periodontol 2000. 2001;25:8-20. doi: 10.1034/j.1600-0757.2001.22250102.x.
- Mariotti A, Hefti AF. Defining periodontal health // BMC Oral Health. 2015;15 Suppl 1(Suppl 1):S6. doi: 10.1186/1472-6831-15-S1-S6.
- Marotte H. Non-surgical periodontal disease: A new treatment for rheumatoid arthritis? // Joint Bone Spine. 2020 Jan;87(1):1-3. doi: 10.1016/j.jbspin.2019.05.002.
- Mealey BL. Periodontal disease and diabetes. A two-way street // J Am Dent Assoc. 2006 Oct;137 Suppl:26S-31S. doi: 10.14219/jada.archive.2006.0404. Erratum in: J Am Dent Assoc. 2008 Mar;139(3):252.
- Merchant AT, Virani SS. Evaluating Periodontal Treatment to Prevent Cardiovascular Disease: Challenges and Possible Solutions // Curr Atheroscler Rep. 2017 Jan;19(1):4. doi: 10.1007/s11883-017-0640-7.
- Niemiec BA. Periodontal disease // Top Companion Anim Med. 2008 May;23(2):72-80. doi: 10.1053/j.tcam.2008.02.003.
- Reners M, Brecx M. Stress and periodontal disease // Int J Dent Hyg. 2007 Nov;5(4):199-204. doi: 10.1111/j.1601-5037.2007.00267.x.
- Ridgeway EE. Periodontal disease: diagnosis and management // J Am Acad Nurse Pract. 2000 Mar;12(3):79-84. doi: 10.1111/j.1745-7599.2000.tb00171.x.
- Гречишников В.В. Лечение сочетанных хронических деструктивных периодонтитов // Вестник Волгоградского государственного медицинского университета, no. 2 (14), 2005, pp. 82-84.
- Жаркова О.А. Иммунологические и микробиологические аспекты хронических периодонтитов // Вестник Витебского государственного медицинского университета, vol. 5, no. 3, 2006, pp. 105-111.
- Клименко Т.М., Скуратова Т.А., Пенчук Е.А. Медикаментозное лечение периодонтита // Главный врач Юга России, май (44), 2015, pp. 7-7.
- Миронова В.В., Физюкова Г.Г., Соломатина Н.Н. // Современные методы диагностики и лечения хронического верхушечного периодонтита // Ульяновский медико-биологический журнал, no. 3, 2011, pp. 96-101.
- Саблина Г.И., Ковтонюк П.А., Соболева Н.Н., Зеленина Т.Г., Татаринова Е.Н. Систематика хронических периодонтитов и их место в МКБ-10 // Сибирский медицинский журнал (Иркутск), vol. 105, no. 6, 2011, pp. 300-302.
- Самойлова О.П., Молоков В.Д., Шурыгин М.Г., Шурыгина И.А. Экспериментальные модели, воспроизводящие заболевания периодонта // Сибирский медицинский журнал (Иркутск), vol. 128, no. 5, 2014, pp. 13-18.
- Сергеев Ю.А., Кругляк С.Е., Петровский А.Э. // Взаимосвязь пародонтита с развитием периодонтита // Международный журнал прикладных наук и технологий «Integral», no. 4, 2018, pp. 187-193.

1
2
3
Комментарии (0)